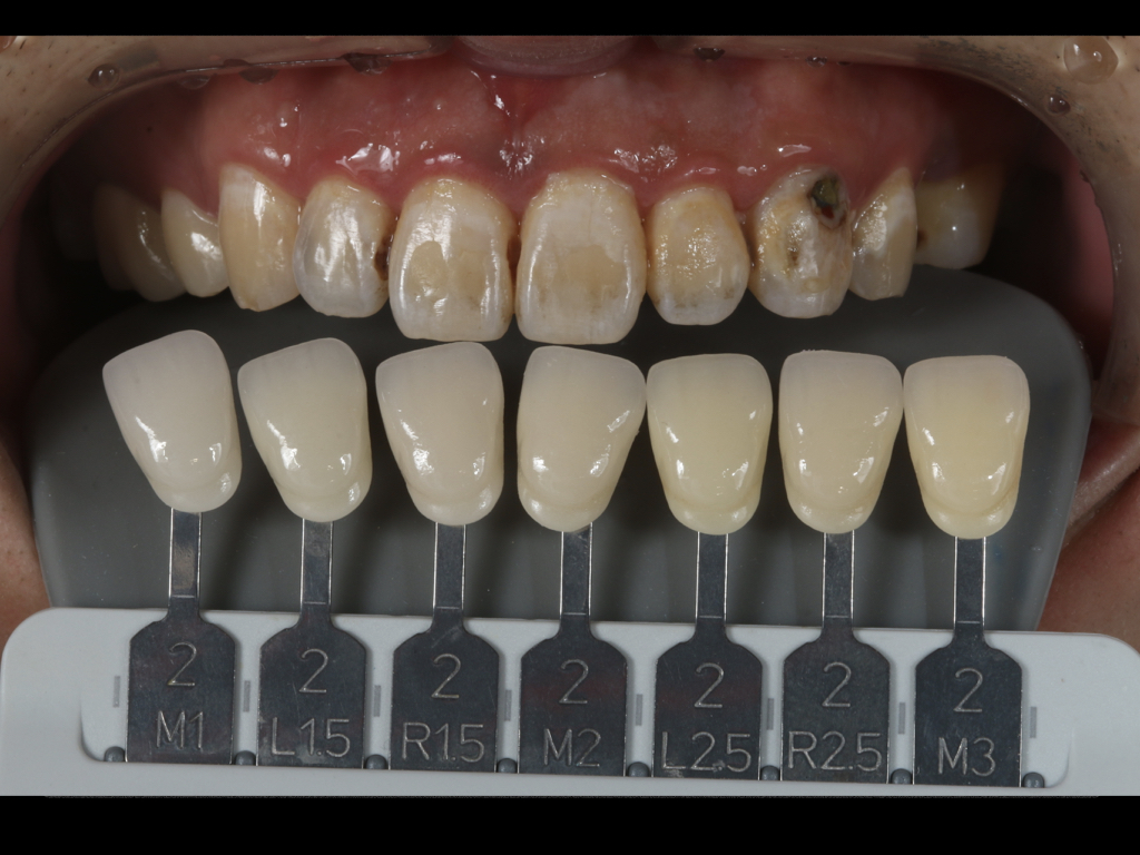
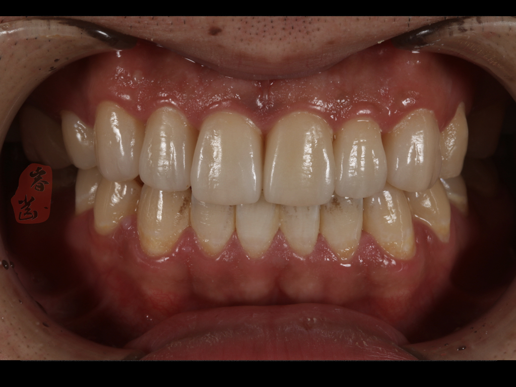
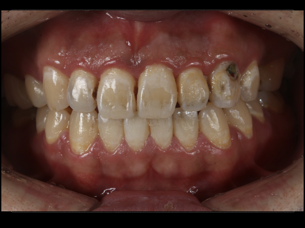
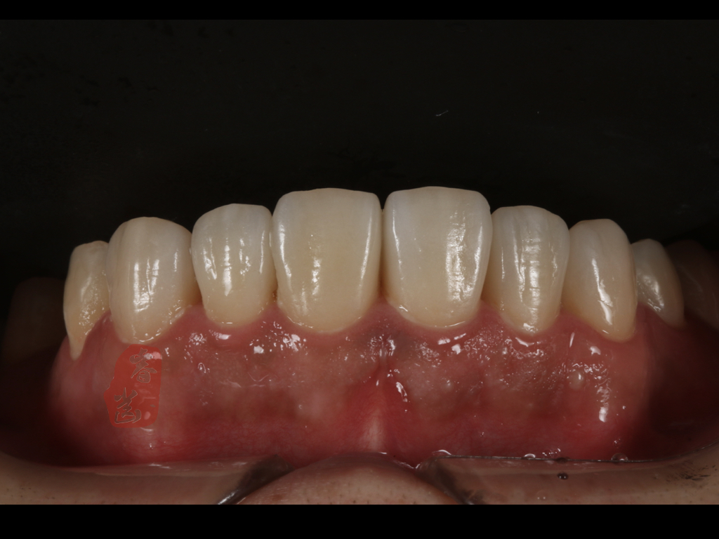
铸瓷贴面13.12.11.21.22.23

in 优选病例

朱照鸿网站照片.002.jpeg朱照鸿网站照片.003.jpeg朱照鸿网站照片.004.jpeg朱照鸿网站照片.005.jpeg朱照鸿网站照片.006.jpeg朱照鸿网站照片.007.jpeg朱照鸿网站照片.008.jpeg朱照鸿网站照片.009.jpeg朱照鸿网站照片.010.jpeg朱照鸿网站照片.012.jpeg朱照鸿网站照片.011.jpegqr1.jpg

医生:朱照鸿;技师:贾永青
Comments are closed.