睿齿全瓷美学工作室
睿齿资讯
个性堆塑
睿齿团队
上传比色照
睿齿资讯
个性堆塑
睿齿团队
上传比色照
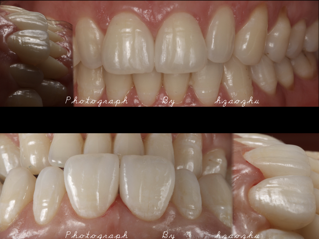
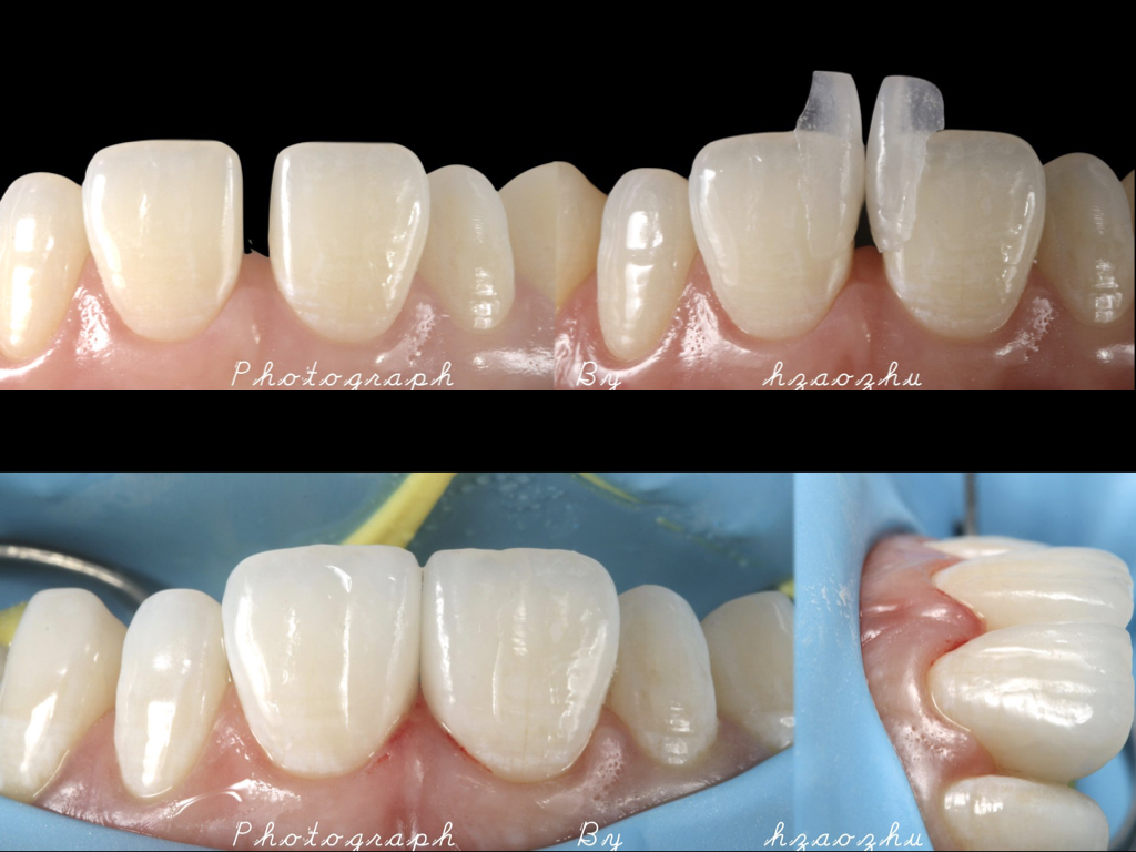
烤瓷贴面 11.21
Published on Dec 30, 2018
in
优选病例
牙医-朱照鸿
烤瓷贴面
技师-贾永青
微创关间隙
牙医:温州佳洁朱照鸿 技师 :睿齿贾永青
Share :
Weibo
QRcode
←
→
↓
↑
Comments are closed.