睿齿全瓷美学工作室
睿齿资讯
个性堆塑
睿齿团队
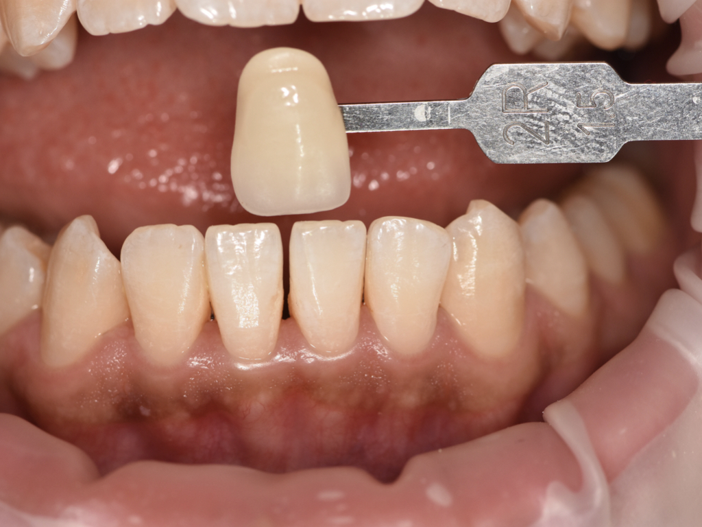
上传比色照
睿齿资讯
个性堆塑
睿齿团队
上传比色照
烤瓷贴面 31.41
Published on Dec 24, 2018
in
优选病例
贾永青
烤瓷贴面
天合口腔 温科医生 睿齿 贾永青
Share :
Weibo
QRcode
←
→
↓
↑
Comments are closed.