睿齿全瓷美学工作室
睿齿资讯
个性堆塑
睿齿团队
上传比色照
睿齿资讯
个性堆塑
睿齿团队
上传比色照
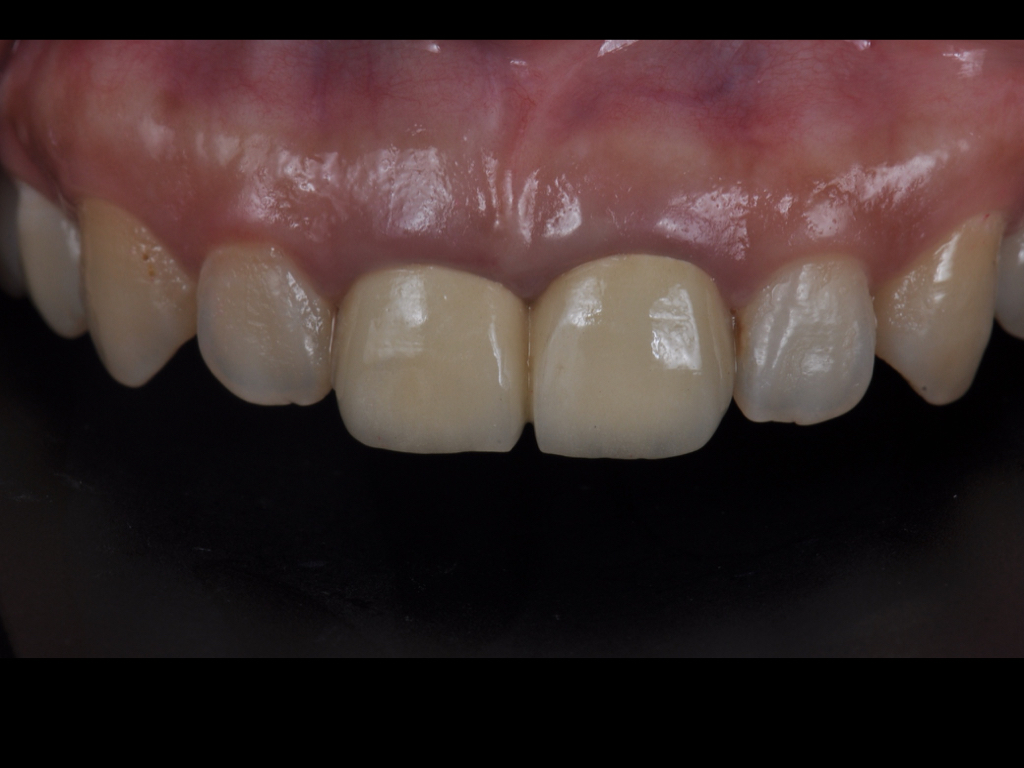
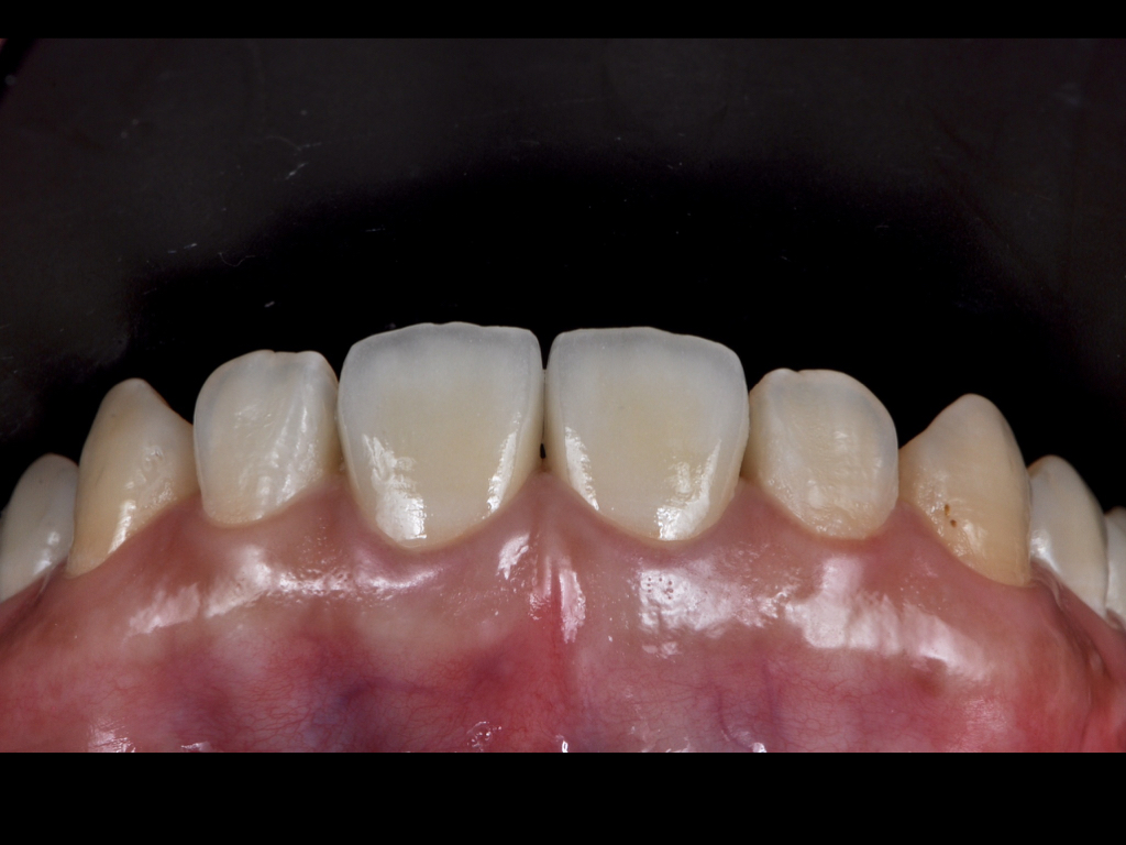
氧化锆全瓷 11.21
Published on Aug 12, 2019
in
优选病例
尹群
氧化锆全瓷
医生:黎吉政 技师 尹群
Share :
Weibo
QRcode
←
→
↓
↑
Comments are closed.