睿齿全瓷美学工作室
睿齿资讯
个性堆塑
睿齿团队
上传比色照
睿齿资讯
个性堆塑
睿齿团队
上传比色照
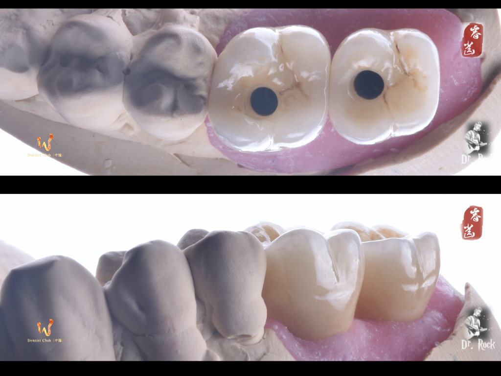
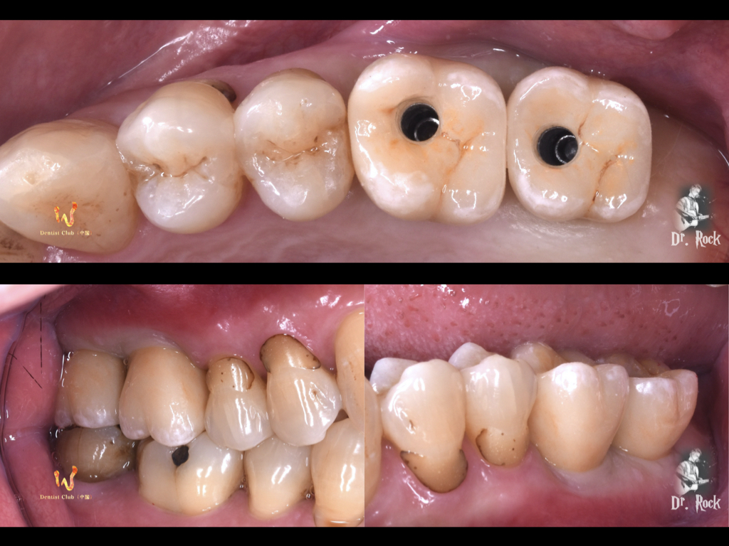
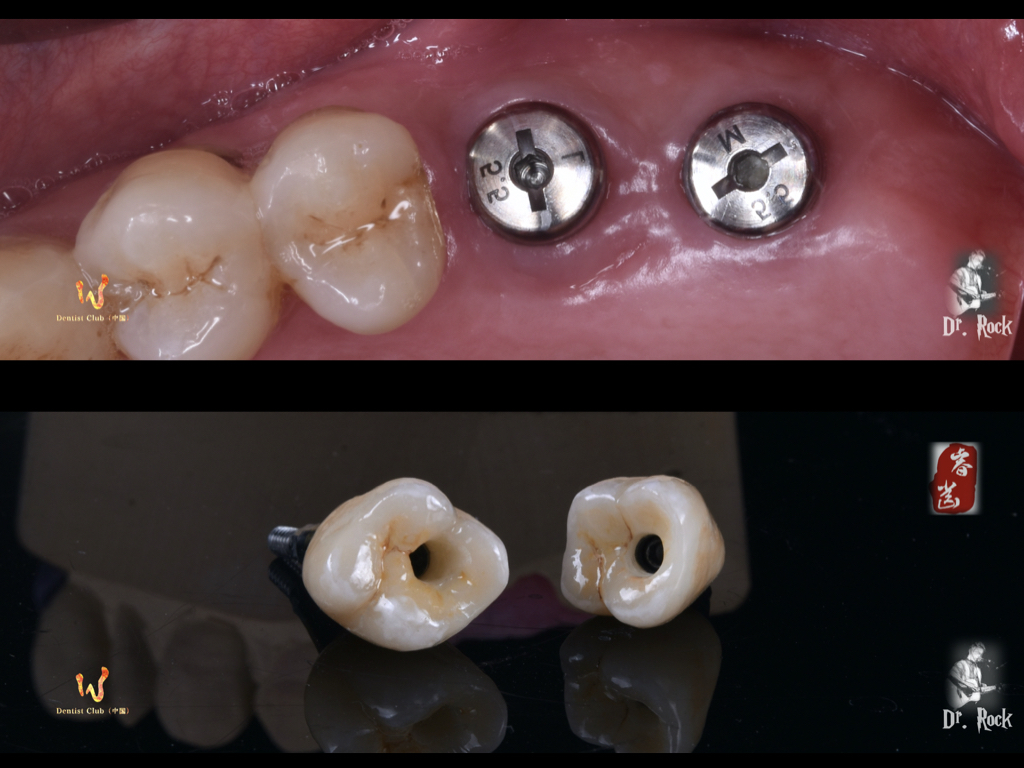
种植氧化锆修复
Published on Jul 17, 2021
in
优选病例
种植
氧化锆全瓷
田帆
牙医:袁伟 技师:田帆
Share :
Weibo
QRcode
←
→
↓
↑
Comments are closed.