睿齿全瓷美学工作室
睿齿资讯
个性堆塑
睿齿团队
上传比色照
睿齿资讯
个性堆塑
睿齿团队
上传比色照
Celtra Press 铸瓷 贴面
Published on Jun 2, 2021
in
优选病例
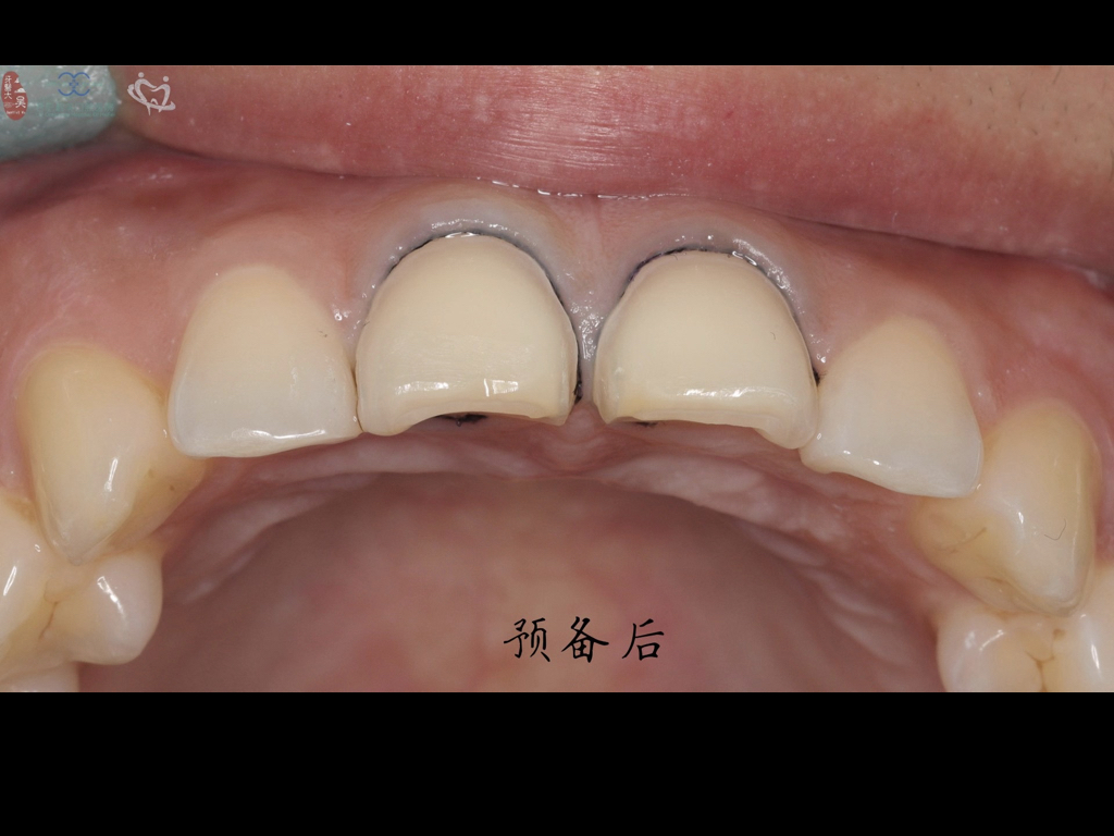
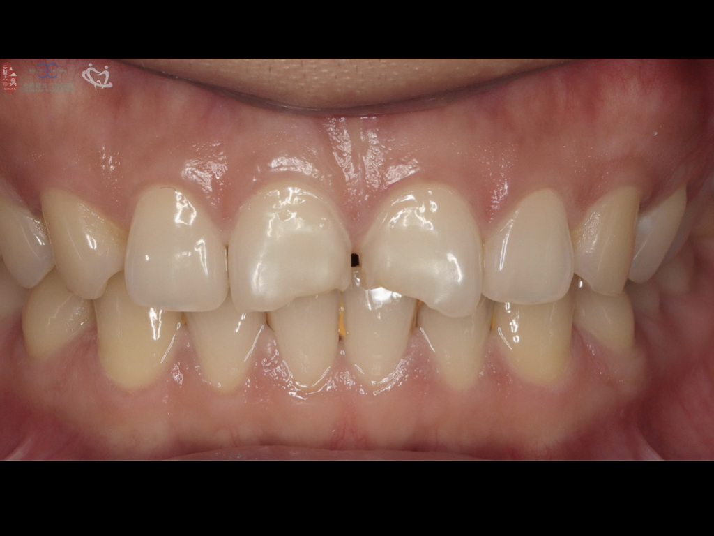
铸瓷贴面
Celtra Press
李玫虹
!
牙医:吴光远 技师:李玫虹
Share :
Weibo
QRcode
←
→
↓
↑
Comments are closed.