睿齿全瓷美学工作室
睿齿资讯
个性堆塑
睿齿团队
上传比色照
睿齿资讯
个性堆塑
睿齿团队
上传比色照
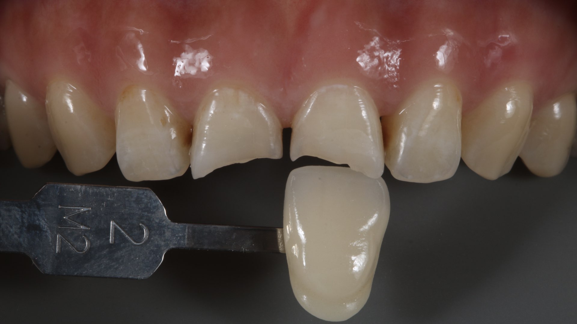
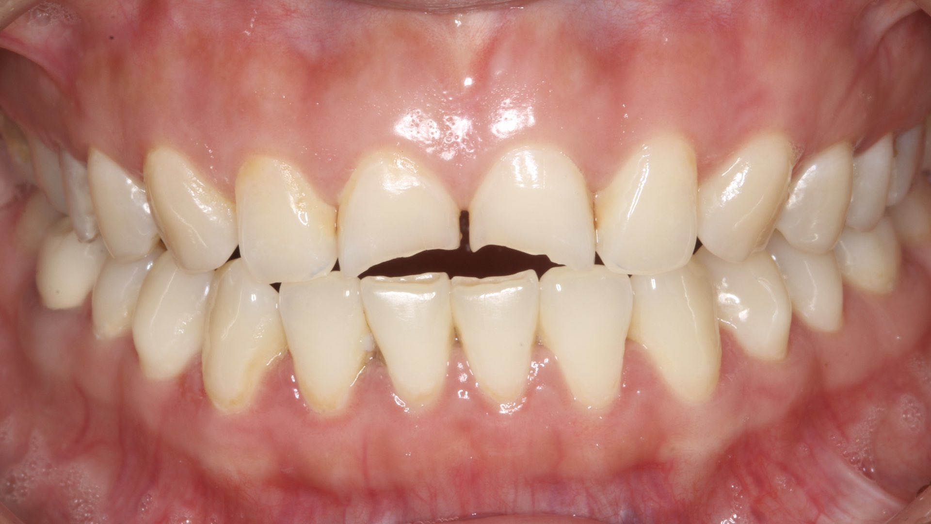
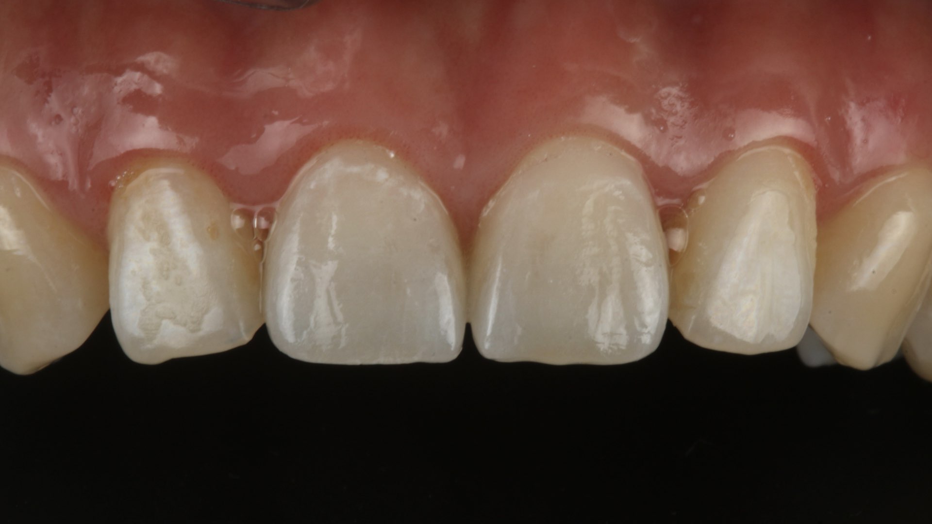
贴面|烤瓷.11.21
Published on Jul 26, 2018
in
优选病例
贾永青
贴面
烤瓷
温州佳洁口腔:朱照鸿医生|技师:贾永青
Share :
Weibo
QRcode
←
→
↓
↑
Comments are closed.