睿齿全瓷美学工作室
睿齿资讯
个性堆塑
睿齿团队
上传比色照
睿齿资讯
个性堆塑
睿齿团队
上传比色照
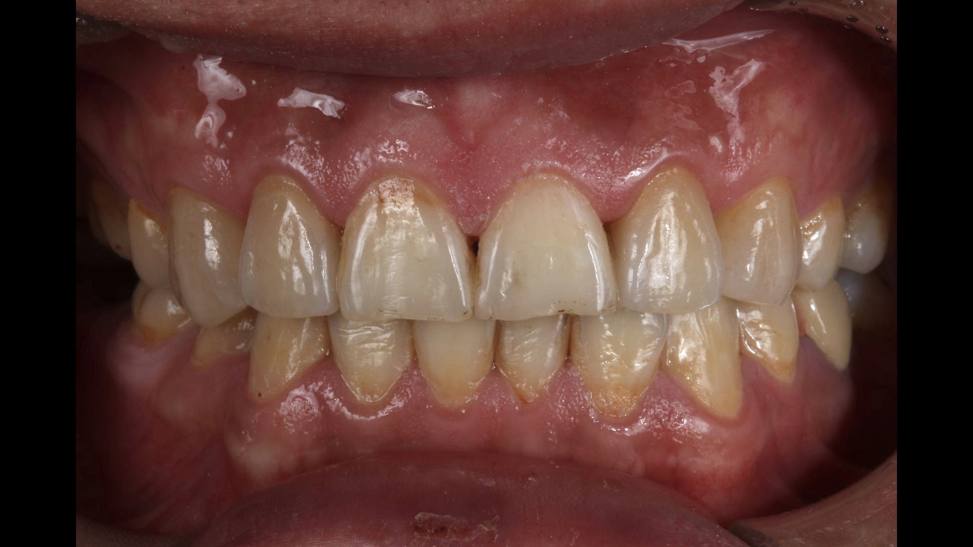
贴面|E.Max .13.12.22.23
Published on Jul 26, 2018
in
优选病例
贾永青
贴面
E.max
温州佳洁口腔 朱照鸿医生 | 技师:贾永青
Share :
Weibo
QRcode
←
→
↓
↑
Comments are closed.