易美贴面21+氧化锆冠11

in 优选病例

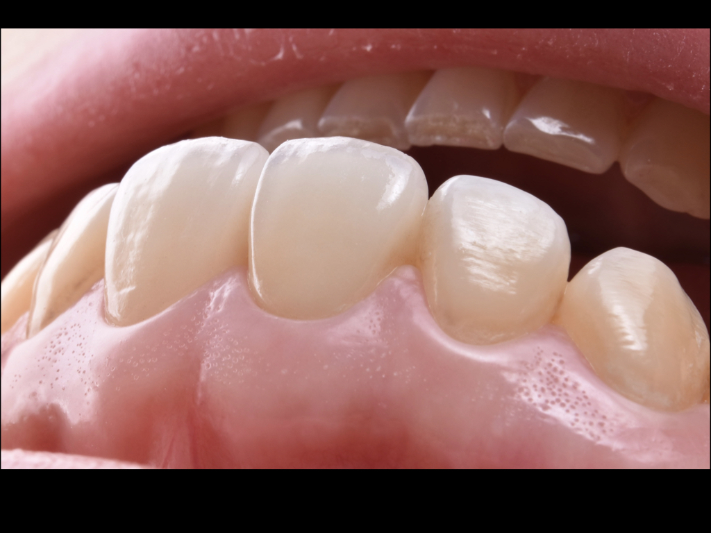
网站病例照片11.001.jpeg网站病例照片11.002.jpeg网站病例照片11.003.jpeg!网站病例照片11.004.jpeg网站病例照片11.005.jpeg网站病例照片11.006.jpeg
网站病例照片11.007.jpeg

科瓦口腔 袁伟医生 睿齿潘云芳
qr1.jpg
Comments are closed.