睿齿全瓷美学工作室
睿齿资讯
个性堆塑
睿齿团队
上传比色照
睿齿资讯
个性堆塑
睿齿团队
上传比色照
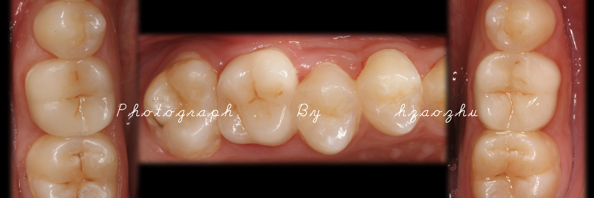
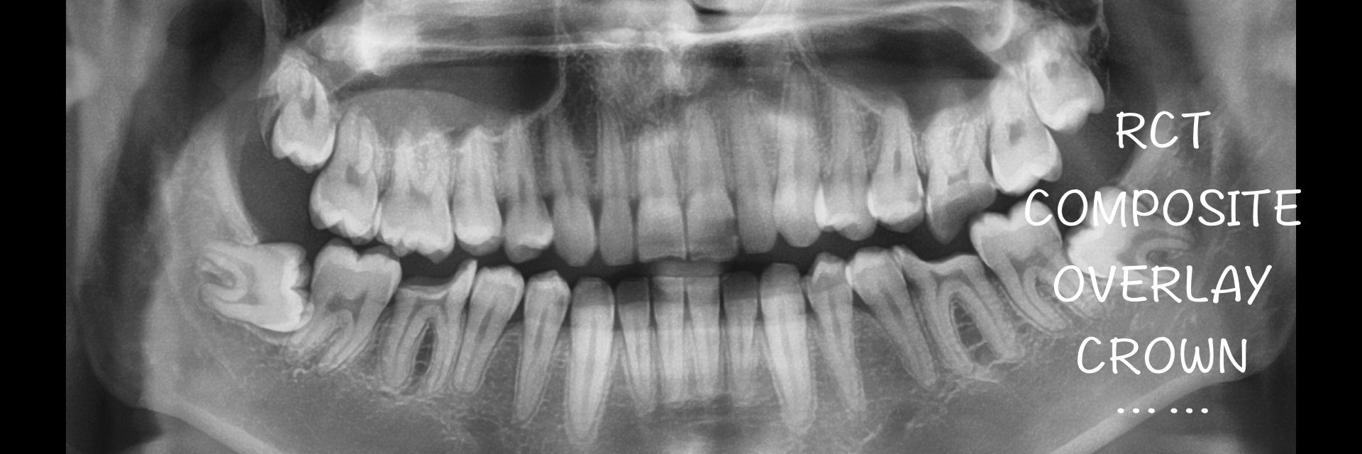
嵌体|E.Max .16.36.46
Published on Dec 27, 2017
in
优选病例
尹群
瓷嵌体作品集
牙医-朱照鸿
温州佳洁口腔 朱照鸿 医生 | 技师:尹群
Share :
Weibo
QRcode
←
→
↓
↑
Comments are closed.